Open Access publishing for the scientific community

Maximizing the impact of research through openness. Because science works best when research is open. gmail login

Welcome to ECronicon

ECronicon aspires to strengthen the researchers by providing a platform with a prime focus towardsfacebook login promoting the usage of e-information that is purposeful for the research world. We provide immense quality literature in print and online. ECronicon publishes 40 journals across the disciplines of life sciences, engineering, technology, pharmacy and medication.

Ecronicon_PubMed
Ecronicon_icmje
Ecronicon_googlescholar
ECronicon Open Access

Open Access

Actively encourages open access submissions, allowing for more meaningful usage of research data in future innovative research.

ECronicon Double Blind Peer Review

Double Blind Peer Review

We are an international double blinded peer-reviewed publisher showcasing research in all areas of scientific technology and developments.hotmail

ECronicon Eminent Editorial Board

Eminent Editorial Board

Our Editors are an expertise in the concerned fields of research, vital in the publication process.

ECronicon High Impact Journals

High Impact Journals

Our primary goal is to accept papers that are unique, new, relevant, and of high quality.

ECronicon Quality Publication

Quality Publication

We aspire to publish high-quality information that meets the requirements of the journal.

ECronicon Anti Plagiarism

Anti Plagiarism

We examine the received articles versus formerly published studies on the world wide web, which aids in determining their uniqueness.

Latest Articles

EC PAEDIATRICS | Case Report

ECPE

Herniation of Appendix through Trocar Site Following Laparoscopic Pyeloplasty in an Infant

Gopi VK, Nafiya, Murali Krishan, Bini B Nambiar and Neethu V Zemmouri

Published on: October 27, 2025

EC CLINICAL AND MEDICAL CASE REPORTS | Case Report

ECCMC

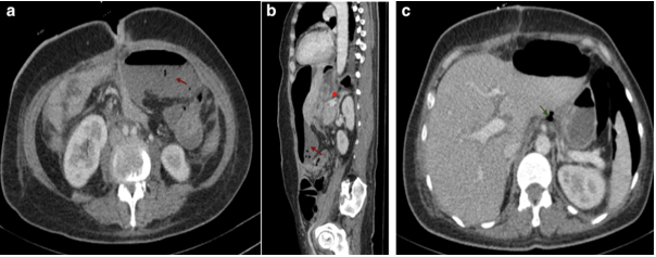
Kehr's Sign in Postoperative Digestive Surgery: A Radiological Red Flag for Pneumoperitoneum

Bouanane Rania, Retal Hamza, El Aouadi Salma, Taibi Ouiam, Siham El Haddad, Nazik Allali and Latifa ChatChatgpt login

Published on: October 27, 2025

EC PULMONOLOGY AND RESPIRATORY MEDICINE | Research Article

ECPRM

Clinical Characteristics of SARS-CoV-2 Infection in the Pediatric Patients: A Retrospective Cohort Study at the Tertiary Pediatric Hospital in Tbilisi, Georgia gmail sign up

Lela Tsakadze, Ivane Chkhaidze, Shota Tsanava, Irakli Karseladze and Tamar Uguzashvili

Published on: October 27, 2025

EC GYNAECOLOGY | Case Report

EC GYNAECOLOGY

Cesarean Myomectomy and its Associated Complications: A Case Report

Iwo-Amah RS, Otogwung AM, Manoah ME and Asikimabo-Ofori S

Published on: October 06, 2025

EC MICROBIOLOGY | Research Article

ECMI

Emulsification Properties of Bacteria Isolates from Dairy Waste Water: Potential for Biosurfactant Production

Ebede Samuel O, Nwanjoku Helen Chioma, Nwanjoku Kingsley O, Uzodimma Bertha A, Nwokoye Kingsley U and Anikwe Fredrick U

Published on: September 18, 2025

EC NEUROLOGY | Case Report

ECNE

A Rare Association between Congenital Strabismus and Cortical Malformations: MRI Evidence of Grey Matter Heterotopia

Jabour Soukayna, Lahfidi Amal, Elaitari Khadija, Boujida Nadia, Khamlichi Amina, Fikri Meriem, Toursa Firdaous, Echcherif Kettani Najwa and Jiddane Mohamed

Published on: August 19, 2025

Eminent Editors

+

Publications

%

Acceptance Rate

+

Article Downloads